Bir kadının vücudu hamilelik boyunca çok değişikliklere maruz kalır. Bu değişiklikler arasında kilo alımı, duruş…
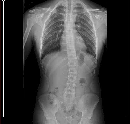
Skolyoz 3 boyutlu bir deformitedir. Tedavisinde ne kadar erken yaşta tespit edilirse düzeltme şansımız o…
Ankara Skolyoz ve Schroth Skolyoz Metod Tedavisi Skolyoz ve Schroth Skolyoz Metodu: Omurga eğriliklerinin 10°…
Ankara Schroth Skolyoz Tedavisi Düzgün Postür ve Daha Fazla Güvenliğin Anahtarı Skolyoz, bel ve…
Yüzmek Skolyozu düzeltir mi? Yüzme sporunun skolyozu (omurga eğrliğini) düzelttiğini gösteren bilimsel kanıtlar yoktur. Hatta…




